Congreso Internacional de Ginecología y Obstetricia

Entre el jueves 31 de mayo y el sábado 2 de junio se llevará a cabo el XXX Congreso Internacional organizado por la Sociedad de Obstetricia...

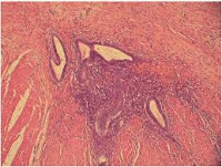
Capacitación en Patología Ginecológica

La Anatomía Patológica es una de las principales ramas de las ciencias de la salud, ya que permite el diagnóstico definitivo de afecciones ...

Capacitación en Ginecología Estética

Existen diversos puntos de confluencia entre la Ginecología tradicional y la Medicina Estética . Esta conjunción de parámetros se aboca tan...

El Especialista en Climaterio

La menopausia forma parte del ciclo biológico normal de las mujeres y se define como la amenorrea secundaria y sostenida originada en el c...

Especializarse en Oncología Ginecológica

La especial atención de los principales procesos tumorales en Ginecología ha logrado un rotundo éxito al reducir la morbilidad y mejorar tan...

El Consultorio de Disfunciones Sexuales Femeninas

Se estima que la prevalencia de las disfunciones sexuales en la mujer alcanza al 50% de la población. Entre estas enfermedades se reconoce ...

La Fertilización in vitro

Los avances en inmunología y medicina de la reproducción han sido motivo de una necesidad creciente de profesionales de la salud especializ...

Consultorio de Disfunciones Sexuales Femeninas

Los servicios de Ginecología brindan numerosos servicios a las pacientes en términos de orientación, diagnóstico, tratamiento y planificaci...

La histeroscopia

Los avances en los recursos técnicos vinculados con la endoscopia y la utilización de fibras ópticas han permitido reducir la invasividad de...

Crioterapia Cervical por Enfermería

El cáncer de cuello uterino puede prevenirse mediante la realización de pruebas masivas de pesquisa en las mujeres jóvenes y de edad madura...

Cirugía Laparoscópica

La laparoscopia se ha convertido en el recurso quirúrgico de elección en diversas áreas de la medic...

Diabetes Gestacional

Sin dudas, la diabetes gestacional constituye una de las afecciones con mayores repercusiones en términos de la salud maternoinfantil en to...

La Paciente con Endometriosis

La endometriosis consiste en la presencia de tejido típico del endometrio en otros órganos de la ana...

Entradas destacadas

index